TurboTom 3 Series


Product Highlight

High Heat Dissipation, Long Service Life 
5MHU Liquid metal bearing tube

Fast Scanning, HD Imaging
0.49s/r+0.5mm slice thickness

Low Noise, Low Dose
Image Clarity superposition iteration denoising technology

Intelligent Scanning, Efficient Process
Tele-Eye 3D-AI navigation system
OneDock intelligent control system
Liquid Metal Bearing Tube High Heat Dissipation Rate

Long Service Life
High Efficiency
Low Noise
Liquid Metal Bearing Tube

1024x1024 matrix, Precise imaging with millions of pixels

0.49s/r Rotation

Higher image resolution at faster scan, reduces movement artifact affection

Ultra Low Noise Detector

Strong Noise Reduction
Integrated detector chips bring low electronic noise, and achieve HD images with low dose.

High Performance
Based on the optimization technology, the detector operates steadily in a low electron noise state.

High Stability
Equipped with automated thermostat technology to ensure the stability of the detector system.
HD Images

ImageClarity Superposition Iteration Denoising Technology
Dual-domain iterations are performed in the data and image domains to optimise the processing of artifacts and noise on a step-by-step basis, reducing noise while maintaining high image resolution.

Multi Low Dose Technology
DoseClarity Intelligent Photon Adjustment Technology; FiltrationClarity Metal Filtering Technology;
ChildClarity Low-dose Algorithm for Children
Efficient Process

Tele-Eye 3D-AI Navigation System
By automatically and accurately recognizing the patient’s position to generate scout image, the system achieves precise positioning scanning in the compartment.

OneDock
Intelligent Control System
One-stop table-side examination system, one-key easy operation.

76cm Large Aperture
Improve patient comfort and meet examinations requiring special positioning.

Automatic Elevating Table
The table can be lowered to 460mm to facilitate children, wheelchair patients and transferred table patients.
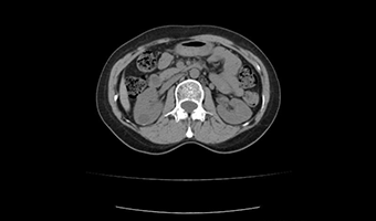
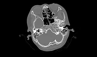
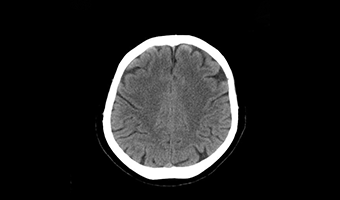
Application Images
Full Size
Full Size
Full Size
Full Size
Full Size
Full Size
Full Size
Other Products in This Category


MEC İLERİ GÖRÜNTÜLEME TEKNOLOJİLERİ A.Ş
MEC is the Turkey representative of "Wandong Medical" and "MinFound", which are engaged in the development, production and sales of high-performance advanced treatment imaging, nuclear medicine, radiotherapy and other life sciences products and offer smart digital solutions consisting of world-class parts.
PRODUCT GROUPS

- Computed Tomography (CT)
- Molecular Imagıng (PET/CT)
- Magnetic Resonance Imaging (MRI)
- Digital Subtraction Angiography (DSA)
- Digital Radiology (DR)
- Mobile DR
- Digital Radiography And Fluoroscopy (DRF)
- Mammography
- Mobile Imaging Solutions
- Veterinary Imaging
- Software Solutıions
ISTANBUL OFFICE


ADDRESS
BUMERANG KARTAL KAT 33 NO: 176 Soğanlık Yeni, Aliağa Sk. No:8, 34880 Kartal / İSTANBUL


PHONE
+90 216 499 99 18


E MAIL
info@mechealthcare.com
ANKARA OFFICE


ADDRESS
Sümer 1 Sokak No14/B Kızılay / ANKARA


PHONE
+90 312 284 88 58


E MAIL
info@mechealthcare.com

All Rights Reserved MEC İLERİ GÖRÜNTÜLEME TEKNOLOJİLERİ A.Ş Copyright © 2024

TR


TurboTom 3 Series

Product Highlight

High Heat Dissipation, Long Service Life 
5MHU Liquid metal bearing tube

Fast Scanning, HD Imaging
0.49s/r+0.5mm slice thickness

Low Noise, Low Dose
Image Clarity superposition iteration denoising technology

Intelligent Scanning, Efficient Process
Tele-Eye 3D-AI navigation system
OneDock intelligent control system


Liquid Metal Bearing Tube High Heat Dissipation Rate

Long Service Life
High Efficiency
Low Noise


Liquid Metal Bearing Tube

1024x1024 matrix, Precise imaging with millions of pixels



0.49s/r Rotation

Higher image resolution at faster scan, reduces movement artifact affection



Ultra Low Noise Detector

Strong Noise Reduction
Integrated detector chips bring low electronic noise, and achieve HD images with low dose.

High Performance
Based on the optimization technology, the detector operates steadily in a low electron noise state.

High Stability
Equipped with automated thermostat technology to ensure the stability of the detector system.


HD Images

ImageClarity Superposition Iteration Denoising Technology
Dual-domain iterations are performed in the data and image domains to optimise the processing of artifacts and noise on a step-by-step basis, reducing noise while maintaining high image resolution.

Multi Low Dose Technology
DoseClarity Intelligent Photon Adjustment Technology; FiltrationClarity Metal Filtering Technology;
ChildClarity Low-dose Algorithm for Children


Efficient Process

Tele-Eye 3D-AI Navigation System
By automatically and accurately recognizing the patient’s position to generate scout image, the system achieves precise positioning scanning in the compartment.

OneDock
Intelligent Control System
One-stop table-side examination system, one-key easy operation.



76cm Large Aperture
Improve patient comfort and meet examinations requiring special positioning.

Automatic Elevating Table
The table can be lowered to 460mm to facilitate children, wheelchair patients and transferred table patients.
Application Images
Full Size
Full Size
Full Size
Full Size
Full Size
Full Size
Full Size
Other Products in This Category


MEC İLERİ GÖRÜNTÜLEME TEKNOLOJİLERİ A.Ş
MEC is the Turkey representative of "Wandong Medical" and "MinFound", which are engaged in the development, production and sales of high-performance advanced treatment imaging, nuclear medicine, radiotherapy and other life sciences products and offer smart digital solutions consisting of world-class parts.
PRODUCT GROUPS

- Computed Tomography (CT)
- Molecular Imagıng (PET/CT)
- Magnetic Resonance Imaging (MRI)
- Digital Subtraction Angiography (DSA)
- Digital Radiology (DR)
- Mobile DR
- Digital Radiography And Fluoroscopy (DRF)
- Mammography
- Mobile Imaging Solutions
- Veterinary Imaging
- Software Solutıions
İSTANBUL OFFICE


ADDRESS
BUMERANG KARTAL KAT 33 NO: 176 Soğanlık Yeni, Aliağa Sk. No:8, 34880 Kartal / İSTANBUL


PHONE
+90 216 499 99 18


E MAIL
info@mechealthcare.com
ANKARA OFFICE


ADDRESS
Sümer 1 Sokak No14/B Kızılay / ANKARA


PHONE
+90 312 284 88 58


E MAIL
info@mechealthcare.com

All Rights Reserved MEC İLERİ GÖRÜNTÜLEME TEKNOLOJİLERİ A.Ş Copyright © 2024