i_Vision1.5T


Breaking barriers, here comes the Zero Helium Superconductive Magnet

Wandong has launched the breaking product - i_Vision 1.5T MRI System, which comes from revolutionary research and development of FREE-cool cryogenic conduction platform, incorporating high-efficiency cryogenic media, ultra-high vacuum, extreme adiabatic technology, and other cutting-edge technologies, makes the desire of "helium free" superconducting MRI come into reality. The magnet achieves stable and uniform extreme low temperature environment while not requiring liquid helium inside anymore.
Product Overview

Worry Free
No liquid helium
No fear of quench and power failure

Fast
Power sense fast imaging technology
Achieves fast and accurate acquisition

Quiet
i-Smooth mute technology
Reduces all-around system noise

Smart
Intelligent power generator / Automatic alarm
Real-time monitoring/Automatic ramping up(down)
FREE-cool Cryogenic Conduction Platform

The platform combines highly efficient cryogenic media, vacuum adiabatic technology, cooling conduction network design and other cutting-edge technology, without a drop of liquid helium, to achieve a stable, uniform and consistent cryogenic environment to complete the revolution of “helium free”, free from the dependence of magnetic resonance on liquid helium.
Power Sense Fast Imaging System

Integrating conventional Sense and Compressed Sense technologies, the acquisition mode is optimized for fast acquisition, which improved scanning speed and image quality. Power sense acceleration technology is used to collect only a few sampling points in a short time, and construct a high-resolution image.

i-Smooth Mute Technology

Brain SWI, capable of achieving 4-8x acceleration.

The i_Smooth technology is integrated to reduce the system noise in sequences comprehensively, taking into account of both high-quality imaging and better experience.

All-round mute
Noise reduction
Without compromise of high quality imaging
Real 24/32 Channel System

By utilizing CSPI acceleration, it is possible to complete breath-hold abdominal high-speed high-resolution sequences.

The multi-channel coil corresponds independently to the multi-channel spectrometer, with fast parallel acquisition technology to improve imaging speed.
Integrated Coils

Combined multi-parts imaging without re-positioning of patient to reduce examination time.

*Wide range combined imaging
*Free coil combination
*No patient re-positioning
*Reduced examination time
COOL-mate Intelligent Control System

Integrate intelligent emergency power generator and Maglinker cloud-based interconnection technology to ensure equipment status controlable.

*Ensure operation in case of accidental power failure
*Automatic alarm for abnormal magnet status
*Magnet status real-time enquiry
*Automatic ramping down in case of emergency
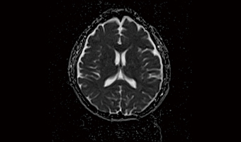
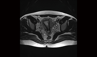
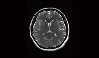
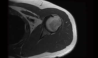
Application Images
Full Size
Full Size
Full Size
Full Size
Full Size
Full Size
Full Size
Full Size
Other Products in This Category


MEC İLERİ GÖRÜNTÜLEME TEKNOLOJİLERİ A.Ş
MEC is the Turkey representative of "Wandong Medical" and "MinFound", which are engaged in the development, production and sales of high-performance advanced treatment imaging, nuclear medicine, radiotherapy and other life sciences products and offer smart digital solutions consisting of world-class parts.
PRODUCT GROUPS

- Computed Tomography (CT)
- Molecular Imagıng (PET/CT)
- Magnetic Resonance Imaging (MRI)
- Digital Subtraction Angiography (DSA)
- Digital Radiology (DR)
- Mobile DR
- Digital Radiography And Fluoroscopy (DRF)
- Mammography
- Mobile Imaging Solutions
- Veterinary Imaging
- Software Solutıions
ISTANBUL OFFICE


ADDRESS
BUMERANG KARTAL KAT 33 NO: 176 Soğanlık Yeni, Aliağa Sk. No:8, 34880 Kartal / İSTANBUL


PHONE
+90 216 499 99 18


E MAIL
info@mechealthcare.com
ANKARA OFFICE


ADDRESS
Sümer 1 Sokak No14/B Kızılay / ANKARA


PHONE
+90 312 284 88 58


E MAIL
info@mechealthcare.com

All Rights Reserved MEC İLERİ GÖRÜNTÜLEME TEKNOLOJİLERİ A.Ş Copyright © 2024

TR


i_Vision1.5T

Breaking barriers, here comes the Zero Helium Superconductive Magnet

Wandong has launched the breaking product - i_Vision 1.5T MRI System, which comes from revolutionary research and development of FREE-cool cryogenic conduction platform, incorporating high-efficiency cryogenic media, ultra-high vacuum, extreme adiabatic technology, and other cutting-edge technologies, makes the desire of "helium free" superconducting MRI come into reality. The magnet achieves stable and uniform extreme low temperature environment while not requiring liquid helium inside anymore.


Product Overview

Worry Free
No liquid helium
No fear of quench and power failure

Fast
Power sense fast imaging technology
Achieves fast and accurate acquisition

Quiet
i-Smooth mute technology
Reduces all-around system noise

Smart
Intelligent power generator / Automatic alarm
Real-time monitoring/Automatic ramping up(down)


FREE-cool Cryogenic Conduction Platform

The platform combines highly efficient cryogenic media, vacuum adiabatic technology, cooling conduction network design and other cutting-edge technology, without a drop of liquid helium, to achieve a stable, uniform and consistent cryogenic environment to complete the revolution of “helium free”, free from the dependence of magnetic resonance on liquid helium.


Power Sense Fast Imaging System

Integrating conventional Sense and Compressed Sense technologies, the acquisition mode is optimized for fast acquisition, which improved scanning speed and image quality. Power sense acceleration technology is used to collect only a few sampling points in a short time, and construct a high-resolution image.



i-Smooth Mute Technology

Brain SWI, capable of achieving 4-8x acceleration.

The i_Smooth technology is integrated to reduce the system noise in sequences comprehensively, taking into account of both high-quality imaging and better experience.

All-round mute
Noise reduction
Without compromise of high quality imaging


Real 24/32 Channel System

By utilizing CSPI acceleration, it is possible to complete breath-hold abdominal high-speed high-resolution sequences.

The multi-channel coil corresponds independently to the multi-channel spectrometer, with fast parallel acquisition technology to improve imaging speed.


Integrated Coils

Combined multi-parts imaging without re-positioning of patient to reduce examination time.

*Wide range combined imaging
*Free coil combination
*No patient re-positioning
*Reduced examination time


COOL-mate Intelligent Control System

Integrate intelligent emergency power generator and Maglinker cloud-based interconnection technology to ensure equipment status controlable.

*Ensure operation in case of accidental power failure
*Automatic alarm for abnormal magnet status
*Magnet status real-time enquiry
*Automatic ramping down in case of emergency
Application Images
Full Size
Full Size
Full Size
Full Size
Full Size
Full Size
Full Size
Full Size
Other Products in This Category


MEC İLERİ GÖRÜNTÜLEME TEKNOLOJİLERİ A.Ş
MEC is the Turkey representative of "Wandong Medical" and "MinFound", which are engaged in the development, production and sales of high-performance advanced treatment imaging, nuclear medicine, radiotherapy and other life sciences products and offer smart digital solutions consisting of world-class parts.
PRODUCT GROUPS

- Computed Tomography (CT)
- Molecular Imagıng (PET/CT)
- Magnetic Resonance Imaging (MRI)
- Digital Subtraction Angiography (DSA)
- Digital Radiology (DR)
- Mobile DR
- Digital Radiography And Fluoroscopy (DRF)
- Mammography
- Mobile Imaging Solutions
- Veterinary Imaging
- Software Solutıions
İSTANBUL OFFICE


ADDRESS
BUMERANG KARTAL KAT 33 NO: 176 Soğanlık Yeni, Aliağa Sk. No:8, 34880 Kartal / İSTANBUL


PHONE
+90 216 499 99 18


E MAIL
info@mechealthcare.com
ANKARA OFFICE


ADDRESS
Sümer 1 Sokak No14/B Kızılay / ANKARA


PHONE
+90 312 284 88 58


E MAIL
info@mechealthcare.com

All Rights Reserved MEC İLERİ GÖRÜNTÜLEME TEKNOLOJİLERİ A.Ş Copyright © 2024