VetCare CT 16 & 32 Slices

VetCare CT, kaliteli, uygun maliyetli ve özelleştirilmiş bir veteriner radyoloji çözümü sunmak için tasarlanmıştır.
Tomograf, sağlam bir X-ışını tüpü, gelişmiş ScintiStar dedektörüne dayanmaktadır ve özel olarak tasarlanmış hayvan protokollerini kolaylaştırır.
VetCare CT’nin yenilikçi düşük doz teknolojileri ve yapay zeka destekli modern iş akışı, evcil hayvanlar için özel bakım ve veterinerler için olağanüstü operasyonel deneyim sağlar.
Dijital ScintiStar Dedektörü

VetCare CT serisi, malzemeden tüm yapı tasarımına kadar yetenekli bilimsel ekibimizin teknik bilgi birikimine dayanarak yalnızca MinFound tarafından geliştirilen tamamen dijital entegre bir ScintiStar dedektörünü içerir. Sistem, düşük radyasyon dozu ve mükemmel sinyal-gürültü oranıyla yüksek çözünürlüklü görüntüler üretir.
Multi Efficience and Simplicity

VetCare CT serisi, yüksek performanslı, enerji tasarruflu bir X-ışını tüpü kullanır. Borunun güç tüketimini en aza indirerek servis ve işletme maliyetlerini kontrol etmeye yardımcı olur. Tutarlı x-ışını çıkışı tavizsiz kalır ve görüntü kalitesini korur.

Yüksek hassasiyetli rulman, uzun servis ömrünü ve sistem servis stabilitesini kolaylaştırır. VetCare CT, sistemin üst düzey performansını sağlamak için özel bir termal hava akışı tasarımına sahiptir.
Kolay Tarama Parmaklarınızın Ucunda

VetCare CT, veteriner taramaları için özel olarak tasarlanmış protokoller ve çeşitli evcil hayvanlar için özel çözümler ve kendini açıklayan iş akışının öne çıkan özelliklerini içerir. Kullanıcı dostu protokollerin yanı sıra MinFound, profesyonel uygulamalı operasyon eğitimi ve 24 saat teknik servis sağlar.
Etkin Doz Yönetimi ile Özel Veteriner Bakımı

NDI NanoDose Yineleme Algoritması (NDI), görüntü alanının anatomik yapısındaki derin öğrenmenin yanı sıra projeksiyon alanındaki tüp ve dedektörü içeren model odaklı yinelemeden tam olarak yararlanan, görüntü yeniden yapılandırması için yenilikçi bir yinelemeli tekniktir. mümkün olan en düşük dozda yüksek çözünürlüklü görüntüler.
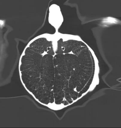
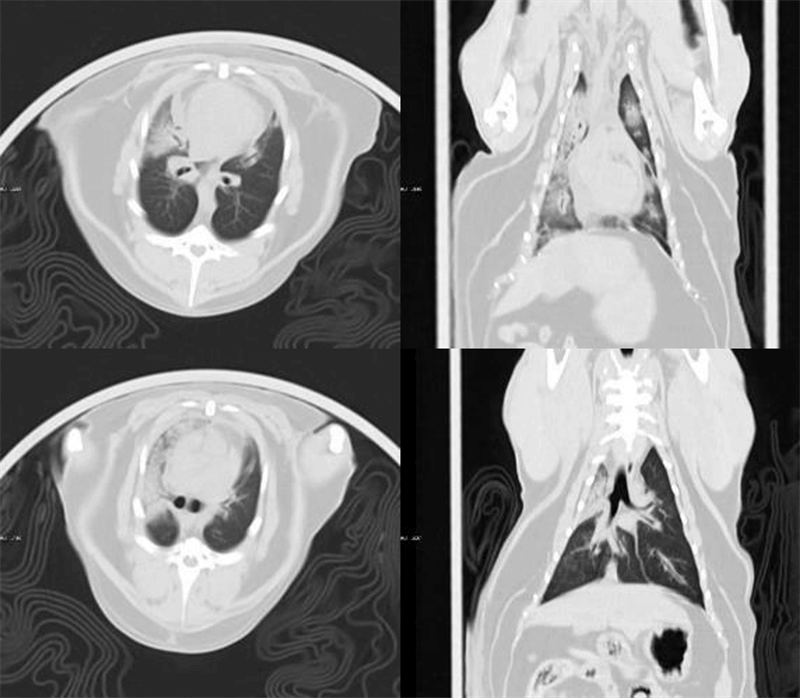
Uygulama Görüntüleri
Tam Boyut
Tam Boyut
Tam Boyut
Tam Boyut
Bu Kategoriye Ait Diğer Ürünler


MEC İLERİ GÖRÜNTÜLEME TEKNOLOJİLERİ A.Ş
MEC, yüksek performanslı ileri tıbbi görüntüleme, nükleer tıp, radyoterapi ve diğer yaşam bilimleri ekipmanlarının geliştirilmesi, üretimi ve satışı ile iştigal eden ve dünya çapındaki müşterilerine akıllı dijital çözümler sunan "Wandong Medical" ve "MinFound" Türkiye mümessiliğini yürütmektedir.
ÜRÜN GRUPLARIMIZ

- Bilgisayarlı Tomografi
- Nükleer Tıp (PET/CT)
- Manyetik Rösenans Görüntüleme (MRI)
- Dijital Subtraksiyon Anjiyografi (DSA)
- Dijital Radyoloji (DR)
- Mobil DR
- Dijital Radyografi Ve Floroskopi (DRF)
- Mammografi
- Mobil Görüntüleme Çözümleri
- Veteriner Görüntüleme
- Yazılım Çözümleri
İSTANBUL OFİSİ


ADRES
BUMERANG KARTAL KAT 33 NO: 176 Soğanlık Yeni, Aliağa Sk. No:8, 34880 Kartal / İSTANBUL


TELEFON
+90 216 499 99 18


E MAIL
info@mechealthcare.com
ANKARA OFİSİ


ADRES
Sümer 1 Sokak No14/B Kızılay / ANKARA


TELEFON
+90 312 284 88 58


E MAIL
info@mechealthcare.com

Tüm hakları MEC İLERİ GÖRÜNTÜLEME TEKNOLOJİLERİ A.Ş tarafından saklıdır. © 2024

EN


VetCare CT 16 & 32 Slices

VetCare CT, kaliteli, uygun maliyetli ve özelleştirilmiş bir veteriner radyoloji çözümü sunmak için tasarlanmıştır.
Tomograf, sağlam bir X-ışını tüpü, gelişmiş ScintiStar dedektörüne dayanmaktadır ve özel olarak tasarlanmış hayvan protokollerini kolaylaştırır.
VetCare CT’nin yenilikçi düşük doz teknolojileri ve yapay zeka destekli modern iş akışı, evcil hayvanlar için özel bakım ve veterinerler için olağanüstü operasyonel deneyim sağlar.


Dijital ScintiStar Dedektörü

VetCare CT serisi, malzemeden tüm yapı tasarımına kadar yetenekli bilimsel ekibimizin teknik bilgi birikimine dayanarak yalnızca MinFound tarafından geliştirilen tamamen dijital entegre bir ScintiStar dedektörünü içerir. Sistem, düşük radyasyon dozu ve mükemmel sinyal-gürültü oranıyla yüksek çözünürlüklü görüntüler üretir.


Multi Efficience and Simplicity

VetCare CT serisi, yüksek performanslı, enerji tasarruflu bir X-ışını tüpü kullanır. Borunun güç tüketimini en aza indirerek servis ve işletme maliyetlerini kontrol etmeye yardımcı olur. Tutarlı x-ışını çıkışı tavizsiz kalır ve görüntü kalitesini korur.

Yüksek hassasiyetli rulman, uzun servis ömrünü ve sistem servis stabilitesini kolaylaştırır. VetCare CT, sistemin üst düzey performansını sağlamak için özel bir termal hava akışı tasarımına sahiptir.


Kolay Tarama Parmaklarınızın Ucunda

VetCare CT, veteriner taramaları için özel olarak tasarlanmış protokoller ve çeşitli evcil hayvanlar için özel çözümler ve kendini açıklayan iş akışının öne çıkan özelliklerini içerir. Kullanıcı dostu protokollerin yanı sıra MinFound, profesyonel uygulamalı operasyon eğitimi ve 24 saat teknik servis sağlar.


Etkin Doz Yönetimi ile Özel Veteriner Bakımı

NDI NanoDose Yineleme Algoritması (NDI), görüntü alanının anatomik yapısındaki derin öğrenmenin yanı sıra projeksiyon alanındaki tüp ve dedektörü içeren model odaklı yinelemeden tam olarak yararlanan, görüntü yeniden yapılandırması için yenilikçi bir yinelemeli tekniktir. mümkün olan en düşük dozda yüksek çözünürlüklü görüntüler.
Uygulama Görüntüleri
Tam Boyut
Tam Boyut
Tam Boyut
Tam Boyut
Bu Kategoriye Ait Diğer Ürünler


MEC İLERİ GÖRÜNTÜLEME TEKNOLOJİLERİ A.Ş
MEC, yüksek performanslı ileri tıbbi görüntüleme, nükleer tıp, radyoterapi ve diğer yaşam bilimleri ekipmanlarının geliştirilmesi, üretimi ve satışı ile iştigal eden ve dünya çapındaki müşterilerine akıllı dijital çözümler sunan "Wandong Medical" ve "MinFound" Türkiye mümessiliğini yürütmektedir.
ÜRÜN GRUPLARIMIZ

- Bilgisayarlı Tomografi
- Nükleer Tıp (PET/CT)
- Manyetik Rösenans Görüntüleme (MRI)
- Dijital Subtraksiyon Anjiyografi (DSA)
- Dijital Radyoloji (DR)
- Mobil DR
- Dijital Radyografi Ve Floroskopi (DRF)
- Mammografi
- Mobil Görüntüleme Çözümleri
- Veteriner Görüntüleme
- Yazılım Çözümleri
İSTANBUL OFİSİ


ADRES
BUMERANG KARTAL KAT 33 NO: 176 Soğanlık Yeni, Aliağa Sk. No:8, 34880 Kartal / İSTANBUL


TELEFON
+90 216 499 99 18


E MAIL
info@mechealthcare.com
ANKARA OFİSİ


ADRES
Sümer 1 Sokak No14/B Kızılay / ANKARA


TELEFON
+90 312 284 88 58


E MAIL
info@mechealthcare.com

Tüm hakları MEC İLERİ GÖRÜNTÜLEME TEKNOLOJİLERİ A.Ş tarafından saklıdır. © 2024