TURBOTOM 1600 Series

Yüksek Çözünürlük, Düşük Doz
Gelişmiş görüntüleme platformu

Akıllı ve Verimli
Basitleştirilmiş iş akışı

Tam Sahne Uygulaması
Ayakta / Acil
Tıbbi muayene
Araç tıbbı
TURBOTOM-1600-Series-Ultra Düşük Gürültü Dedektörü

Düşük doz koşullarında yüksek çözünürlüklü görüntüler elde etmek amacıyla elektronik gürültüyü azaltan çipli entegre dedektör.
TURBOTOM-1600-Series-Eşdeğer Yüksek Güç

Sistemin eşdeğer maksimum gücü 140kW’a ulaşarak tüpün maruz kalma gücünü azaltır ve servis ömrünü uzatır.
TURBOTOM-1600-Series-0,5s/r + 0,5mm Dilim Kalınlığı

Yüksek hızlı çekim ve yüksek çözünürlüklü görüntülemenin birleşimi, hasta konforunu ve teşhis doğruluğunu artırarak hareket artefaktlarının olasılığını azaltır.
SpiralClarity yeniden yapılandırma algoritması

Spiral yörünge boyunca çok düzlemli yeniden yapılandırma ve üst üste bindirilmiş yeniden düzenleme, perde boyutuna bağımlılığı azaltır, incelemeye maruz kalma süresini kısaltır, hasta deneyimini geliştirir ve hareket artefaktlarının olasılığını azaltır.

ImageClarity yinelemeli gürültü giderme algoritması

Artefaktların ve gürültülerin adım adım optimizasyonu yoluyla, gerçek sinyali koruyarak ve geri yükleyerek, veri ve görüntü alanlarına uygulanan yinelemeli gürültü azaltma, kontrast çözünürlüğünü geliştirirken sistemin yüksek çözünürlük kapasitesini koruyabilir.
Düşük Doz Teknolojisi

Doz Netliği
Akıllı fotonik düzenleme teknolojisi
Kişiselleştirilmiş otomatik doz kontrolü

Pediatrik özel protokoller
Çocuklara daha iyi bakmak için optimize edilmiş protokoller
Otomatik VMA ayarlama teknolojisi

Hasta boyutuna ilişkin akıllı hesaplamalara dayanarak foton çıkış yoğunluğu, gerekli olmayan radyasyonu azaltmak ve görüntü kalitesini artırmak için tarama sırasında otomatik olarak ayarlanır.

Akıllı model kalibrasyonu

Foton dağıtım modeli ve hasta boyutuna bağlı olarak, görüş alanındaki foton yoğunluğu ve enerji dağılımı, gerekli olmayan radyasyonu azaltmak ve görüntü kalitesini artırmak için optimize edilmiştir.
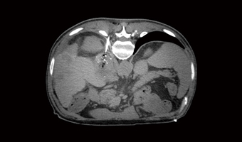
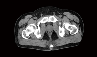
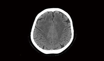
Uygulama Görüntüleri
Tam Boyut
Tam Boyut
Tam Boyut
Tam Boyut
Tam Boyut
Tam Boyut
Tam Boyut
Tam Boyut
Bu Kategoriye Ait Diğer Ürünler


MEC İLERİ GÖRÜNTÜLEME TEKNOLOJİLERİ A.Ş
MEC, yüksek performanslı ileri tıbbi görüntüleme, nükleer tıp, radyoterapi ve diğer yaşam bilimleri ekipmanlarının geliştirilmesi, üretimi ve satışı ile iştigal eden ve dünya çapındaki müşterilerine akıllı dijital çözümler sunan "Wandong Medical" ve "MinFound" Türkiye mümessiliğini yürütmektedir.
ÜRÜN GRUPLARIMIZ

- Bilgisayarlı Tomografi
- Nükleer Tıp (PET/CT)
- Manyetik Rösenans Görüntüleme (MRI)
- Dijital Subtraksiyon Anjiyografi (DSA)
- Dijital Radyoloji (DR)
- Mobil DR
- Dijital Radyografi Ve Floroskopi (DRF)
- Mammografi
- Mobil Görüntüleme Çözümleri
- Veteriner Görüntüleme
- Yazılım Çözümleri
İSTANBUL OFİSİ


ADRES
BUMERANG KARTAL KAT 33 NO: 176 Soğanlık Yeni, Aliağa Sk. No:8, 34880 Kartal / İSTANBUL


TELEFON
+90 216 499 99 18


E MAIL
info@mechealthcare.com
ANKARA OFİSİ


ADRES
Sümer 1 Sokak No14/B Kızılay / ANKARA


TELEFON
+90 312 284 88 58


E MAIL
info@mechealthcare.com

Tüm hakları MEC İLERİ GÖRÜNTÜLEME TEKNOLOJİLERİ A.Ş tarafından saklıdır. © 2024

EN


TURBOTOM 1600 Series

Yüksek Çözünürlük, Düşük Doz
Gelişmiş görüntüleme platformu

Akıllı ve Verimli
Basitleştirilmiş iş akışı

Tam Sahne Uygulaması
Ayakta / Acil
Tıbbi muayene
Araç tıbbı


TURBOTOM-1600-Series-Ultra Düşük Gürültü Dedektörü

Düşük doz koşullarında yüksek çözünürlüklü görüntüler elde etmek amacıyla elektronik gürültüyü azaltan çipli entegre dedektör.


TURBOTOM-1600-Series-Eşdeğer Yüksek Güç

Sistemin eşdeğer maksimum gücü 140kW’a ulaşarak tüpün maruz kalma gücünü azaltır ve servis ömrünü uzatır.


TURBOTOM-1600-Series-0,5s/r + 0,5mm Dilim Kalınlığı

Yüksek hızlı çekim ve yüksek çözünürlüklü görüntülemenin birleşimi, hasta konforunu ve teşhis doğruluğunu artırarak hareket artefaktlarının olasılığını azaltır.


SpiralClarity yeniden yapılandırma algoritması

Spiral yörünge boyunca çok düzlemli yeniden yapılandırma ve üst üste bindirilmiş yeniden düzenleme, perde boyutuna bağımlılığı azaltır, incelemeye maruz kalma süresini kısaltır, hasta deneyimini geliştirir ve hareket artefaktlarının olasılığını azaltır.

ImageClarity yinelemeli gürültü giderme algoritması

Artefaktların ve gürültülerin adım adım optimizasyonu yoluyla, gerçek sinyali koruyarak ve geri yükleyerek, veri ve görüntü alanlarına uygulanan yinelemeli gürültü azaltma, kontrast çözünürlüğünü geliştirirken sistemin yüksek çözünürlük kapasitesini koruyabilir.


Düşük Doz Teknolojisi

Doz Netliği
Akıllı fotonik düzenleme teknolojisi
Kişiselleştirilmiş otomatik doz kontrolü

Pediatrik özel protokoller
Çocuklara daha iyi bakmak için optimize edilmiş protokoller


Otomatik VMA ayarlama teknolojisi

Hasta boyutuna ilişkin akıllı hesaplamalara dayanarak foton çıkış yoğunluğu, gerekli olmayan radyasyonu azaltmak ve görüntü kalitesini artırmak için tarama sırasında otomatik olarak ayarlanır.

Akıllı model kalibrasyonu

Foton dağıtım modeli ve hasta boyutuna bağlı olarak, görüş alanındaki foton yoğunluğu ve enerji dağılımı, gerekli olmayan radyasyonu azaltmak ve görüntü kalitesini artırmak için optimize edilmiştir.
Uygulama Görüntüleri
Tam Boyut
Tam Boyut
Tam Boyut
Tam Boyut
Tam Boyut
Tam Boyut
Tam Boyut
Tam Boyut
Bu Kategoriye Ait Diğer Ürünler


MEC İLERİ GÖRÜNTÜLEME TEKNOLOJİLERİ A.Ş
MEC, yüksek performanslı ileri tıbbi görüntüleme, nükleer tıp, radyoterapi ve diğer yaşam bilimleri ekipmanlarının geliştirilmesi, üretimi ve satışı ile iştigal eden ve dünya çapındaki müşterilerine akıllı dijital çözümler sunan "Wandong Medical" ve "MinFound" Türkiye mümessiliğini yürütmektedir.
ÜRÜN GRUPLARIMIZ

- Bilgisayarlı Tomografi
- Nükleer Tıp (PET/CT)
- Manyetik Rösenans Görüntüleme (MRI)
- Dijital Subtraksiyon Anjiyografi (DSA)
- Dijital Radyoloji (DR)
- Mobil DR
- Dijital Radyografi Ve Floroskopi (DRF)
- Mammografi
- Mobil Görüntüleme Çözümleri
- Veteriner Görüntüleme
- Yazılım Çözümleri
İSTANBUL OFİSİ


ADRES
BUMERANG KARTAL KAT 33 NO: 176 Soğanlık Yeni, Aliağa Sk. No:8, 34880 Kartal / İSTANBUL


TELEFON
+90 216 499 99 18


E MAIL
info@mechealthcare.com
ANKARA OFİSİ


ADRES
Sümer 1 Sokak No14/B Kızılay / ANKARA


TELEFON
+90 312 284 88 58


E MAIL
info@mechealthcare.com

Tüm hakları MEC İLERİ GÖRÜNTÜLEME TEKNOLOJİLERİ A.Ş tarafından saklıdır. © 2024