TURBOTOM 3200S

Tele-Eye Akıllı Navigasyon Sistemi
Temassız ve etkili muayene

Yüksek Isı Yayılımı, Düşük Sistem Aşınması
Sıvı metal taşıyan boru

0,5 mm Dilim Tarama
Küçük lezyonları bulmak kolay

77cm Geniş Diyafram
Daha fazla kişiye konforlu bir muayene deneyimi sunar
TURBOTOM-3200S-Sıvı Metal Rulman Borusu

Daha az sistem aşınması ve daha uzun tüp ömrü, yüksek ısı dağılımı, yüksek hasta akışına uyum sağlar.
Eşdeğer Yüksek Güç

Sistemin eşdeğer maksimum gücü 140kW’a ulaşarak tüpün maruz kalma gücünü azaltır ve servis ömrünü uzatır.
0,5s/r + 0,5mm Dilim Kalınlığı

Yüksek hızlı çekim ve yüksek çözünürlüklü görüntülemenin birleşimi, hasta konforunu ve teşhis doğruluğunu artırarak hareket artefaktlarının olasılığını azaltır.
TURBOTOM-3200S-Ultra Görüntüleme Platformu

Güçlü gürültü azaltma
Düşük doz koşullarında yüksek çözünürlüklü görüntüler elde etmek amacıyla elektronik gürültüyü azaltan çipli entegre dedektör.

Yüksek performanslı malzemeler
Sintilatörün ana kafes yapısının optimizasyon teknolojisine dayanarak, ışık çıkışı artırılırken artık parlaklık azaltılır ve dedektörün düşük elektronik gürültü durumunda istikrarlı bir şekilde çalışması sağlanır.

Otomatik termoregülasyon
Otomatik termoregülasyon teknolojisi, dedektörün iç sıcaklığının birden fazla noktada gerçek zamanlı izlenmesine olanak tanır. Termal düzenleme sisteminin dinamik kontrolü, dedektör sisteminin stabilitesini garanti etmek için boşluk içinde sabit bir sıcaklık sağlar.
TURBOTOM-3200S-HD Görüntüleme

SpiralClarity yeniden yapılandırma algoritması
Spiral yörünge boyunca çok düzlemli yeniden yapılandırma ve üst üste bindirilmiş yeniden düzenleme, perde boyutuna bağımlılığı azaltır, incelemeye maruz kalma süresini kısaltır, hasta deneyimini geliştirir ve hareket artefaktlarının olasılığını azaltır.

ImageClarity hibrit alan gürültü giderme algoritması
Artefaktların ve gürültülerin adım adım optimizasyonu yoluyla, gerçek sinyali koruyarak ve geri yükleyerek, veri ve görüntü alanlarına uygulanan yinelemeli gürültü azaltma, kontrast çözünürlüğünü geliştirirken sistemin yüksek çözünürlük kapasitesini koruyabilir.
TURBOTOM-3200S-Düşük Doz Teknolojisi

Doz Netliği
Akıllı fotonik düzenleme teknolojisi
Kişiselleştirilmiş otomatik doz kontrolü

Pediatrik özel protokoller
Çocuklara daha iyi bakmak için optimize edilmiş protokoller

Otomatik VMA ayarlama teknolojisi
Hasta boyutuna ilişkin akıllı hesaplamalara dayanarak foton çıkış yoğunluğu, gerekli olmayan radyasyonu azaltmak ve görüntü kalitesini artırmak için tarama sırasında otomatik olarak ayarlanır.

Akıllı model kalibrasyonu
Foton dağıtım modeli ve hasta boyutuna bağlı olarak görüş alanındaki foton yoğunluğu ve enerji dağılımı, gerekli olmayan radyasyonu azaltmak ve görüntü kalitesini artırmak için optimize edilmiştir.
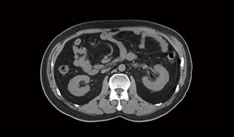
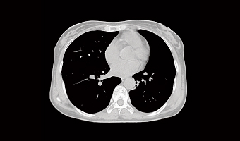
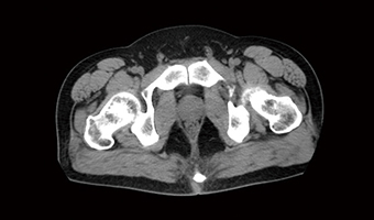
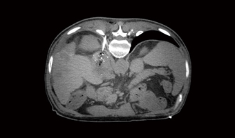
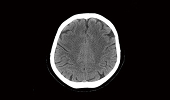
Uygulama Görüntüleri
Tam Boyut
Tam Boyut
Tam Boyut
Tam Boyut
Tam Boyut
Tam Boyut
Tam Boyut
Tam Boyut
Bu Kategoriye Ait Diğer Ürünler


MEC İLERİ GÖRÜNTÜLEME TEKNOLOJİLERİ A.Ş
MEC, yüksek performanslı ileri tıbbi görüntüleme, nükleer tıp, radyoterapi ve diğer yaşam bilimleri ekipmanlarının geliştirilmesi, üretimi ve satışı ile iştigal eden ve dünya çapındaki müşterilerine akıllı dijital çözümler sunan "Wandong Medical" ve "MinFound" Türkiye mümessiliğini yürütmektedir.
ÜRÜN GRUPLARIMIZ

- Bilgisayarlı Tomografi
- Nükleer Tıp (PET/CT)
- Manyetik Rösenans Görüntüleme (MRI)
- Dijital Subtraksiyon Anjiyografi (DSA)
- Dijital Radyoloji (DR)
- Mobil DR
- Dijital Radyografi Ve Floroskopi (DRF)
- Mammografi
- Mobil Görüntüleme Çözümleri
- Veteriner Görüntüleme
- Yazılım Çözümleri
İSTANBUL OFİSİ


ADRES
BUMERANG KARTAL KAT 33 NO: 176 Soğanlık Yeni, Aliağa Sk. No:8, 34880 Kartal / İSTANBUL


TELEFON
+90 216 499 99 18


E MAIL
info@mechealthcare.com
ANKARA OFİSİ


ADRES
Sümer 1 Sokak No14/B Kızılay / ANKARA


TELEFON
+90 312 284 88 58


E MAIL
info@mechealthcare.com

Tüm hakları MEC İLERİ GÖRÜNTÜLEME TEKNOLOJİLERİ A.Ş tarafından saklıdır. © 2024

EN


TURBOTOM 3200S

Tele-Eye Akıllı Navigasyon Sistemi
Temassız ve etkili muayene

Yüksek Isı Yayılımı, Düşük Sistem Aşınması
Sıvı metal taşıyan boru

0,5 mm Dilim Tarama
Küçük lezyonları bulmak kolay

77cm Geniş Diyafram
Daha fazla kişiye konforlu bir muayene deneyimi sunar


TURBOTOM-3200S-Sıvı Metal Rulman Borusu

Daha az sistem aşınması ve daha uzun tüp ömrü, yüksek ısı dağılımı, yüksek hasta akışına uyum sağlar.


Eşdeğer Yüksek Güç

Sistemin eşdeğer maksimum gücü 140kW’a ulaşarak tüpün maruz kalma gücünü azaltır ve servis ömrünü uzatır.


0,5s/r + 0,5mm Dilim Kalınlığı

Yüksek hızlı çekim ve yüksek çözünürlüklü görüntülemenin birleşimi, hasta konforunu ve teşhis doğruluğunu artırarak hareket artefaktlarının olasılığını azaltır.


TURBOTOM-3200S-Ultra Görüntüleme Platformu

Güçlü gürültü azaltma
Düşük doz koşullarında yüksek çözünürlüklü görüntüler elde etmek amacıyla elektronik gürültüyü azaltan çipli entegre dedektör.

Yüksek performanslı malzemeler
Sintilatörün ana kafes yapısının optimizasyon teknolojisine dayanarak, ışık çıkışı artırılırken artık parlaklık azaltılır ve dedektörün düşük elektronik gürültü durumunda istikrarlı bir şekilde çalışması sağlanır.

Otomatik termoregülasyon
Otomatik termoregülasyon teknolojisi, dedektörün iç sıcaklığının birden fazla noktada gerçek zamanlı izlenmesine olanak tanır. Termal düzenleme sisteminin dinamik kontrolü, dedektör sisteminin stabilitesini garanti etmek için boşluk içinde sabit bir sıcaklık sağlar.


TURBOTOM-3200S-HD Görüntüleme

SpiralClarity yeniden yapılandırma algoritması
Spiral yörünge boyunca çok düzlemli yeniden yapılandırma ve üst üste bindirilmiş yeniden düzenleme, perde boyutuna bağımlılığı azaltır, incelemeye maruz kalma süresini kısaltır, hasta deneyimini geliştirir ve hareket artefaktlarının olasılığını azaltır.

ImageClarity hibrit alan gürültü giderme algoritması
Artefaktların ve gürültülerin adım adım optimizasyonu yoluyla, gerçek sinyali koruyarak ve geri yükleyerek, veri ve görüntü alanlarına uygulanan yinelemeli gürültü azaltma, kontrast çözünürlüğünü geliştirirken sistemin yüksek çözünürlük kapasitesini koruyabilir.


TURBOTOM-3200S-Düşük Doz Teknolojisi

Doz Netliği
Akıllı fotonik düzenleme teknolojisi
Kişiselleştirilmiş otomatik doz kontrolü

Pediatrik özel protokoller
Çocuklara daha iyi bakmak için optimize edilmiş protokoller



Otomatik VMA ayarlama teknolojisi
Hasta boyutuna ilişkin akıllı hesaplamalara dayanarak foton çıkış yoğunluğu, gerekli olmayan radyasyonu azaltmak ve görüntü kalitesini artırmak için tarama sırasında otomatik olarak ayarlanır.

Akıllı model kalibrasyonu
Foton dağıtım modeli ve hasta boyutuna bağlı olarak görüş alanındaki foton yoğunluğu ve enerji dağılımı, gerekli olmayan radyasyonu azaltmak ve görüntü kalitesini artırmak için optimize edilmiştir.
Uygulama Görüntüleri
Tam Boyut
Tam Boyut
Tam Boyut
Tam Boyut
Tam Boyut
Tam Boyut
Tam Boyut
Tam Boyut
Bu Kategoriye Ait Diğer Ürünler


MEC İLERİ GÖRÜNTÜLEME TEKNOLOJİLERİ A.Ş
MEC, yüksek performanslı ileri tıbbi görüntüleme, nükleer tıp, radyoterapi ve diğer yaşam bilimleri ekipmanlarının geliştirilmesi, üretimi ve satışı ile iştigal eden ve dünya çapındaki müşterilerine akıllı dijital çözümler sunan "Wandong Medical" ve "MinFound" Türkiye mümessiliğini yürütmektedir.
ÜRÜN GRUPLARIMIZ

- Bilgisayarlı Tomografi
- Nükleer Tıp (PET/CT)
- Manyetik Rösenans Görüntüleme (MRI)
- Dijital Subtraksiyon Anjiyografi (DSA)
- Dijital Radyoloji (DR)
- Mobil DR
- Dijital Radyografi Ve Floroskopi (DRF)
- Mammografi
- Mobil Görüntüleme Çözümleri
- Veteriner Görüntüleme
- Yazılım Çözümleri
İSTANBUL OFİSİ


ADRES
BUMERANG KARTAL KAT 33 NO: 176 Soğanlık Yeni, Aliağa Sk. No:8, 34880 Kartal / İSTANBUL


TELEFON
+90 216 499 99 18


E MAIL
info@mechealthcare.com
ANKARA OFİSİ


ADRES
Sümer 1 Sokak No14/B Kızılay / ANKARA


TELEFON
+90 312 284 88 58


E MAIL
info@mechealthcare.com

Tüm hakları MEC İLERİ GÖRÜNTÜLEME TEKNOLOJİLERİ A.Ş tarafından saklıdır. © 2024