DRF-7/8 Series

Mükemmel Performans, Her Yönden Gelişim

Klinik teşhisleri güçlendirmek için gelişmiş uygulamaları genişletmek, daha verimli bir görüntüleme zinciri oluşturarak her muayene için düşük dozlarda yüksek kaliteli görüntülemeye olanak sağlamak.

Yapay Zeka Yardımı
Gelişmiş Klinik Uygulamaların Genişletilmesi
Akıllı Düşük Doz Yönetimi
Üst Düzey Donanım

Sürekli floroskopi sağlamak için yüksek güç ve yüksek termal kapasite
Retrograd görüntüleme ihtiyaçları için -25° masa eğimi
Eğik projeksiyon ve tomosentez için tüp dönüşü ±45°
Göğüs radyografisi için 1800 mm’ye kadar SID motorlu uzatma
Tüm vücut R/F muayenesi için 1600 mm görüntüleme alanı kapsamı
Çok Yönlü Düşük Doz Görüntüleme

Düşük doz program algoritma sistemi
Floroskopik görüntü edinme işlemi sırasında, gelişmiş görüntü kalitesi elde etmek için hareketli parçalar korunurken, zaman eksenindeki gürültü azaltılarak sistem gürültüsünün görüntü üzerindeki etkisi azaltılır.

DAP görüntüleme sistemi
Gerçek zamanlı kümülatif değerler radyasyon dozunu gösterir.

Çıkarılabilir ızgara
Düşük doz görüntüleme talebini karşılayın.

Sanal kolimatör
Radyasyonsuz koşullar altında hızlı FOV konumlandırması gereksizliği en aza indirir.
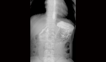
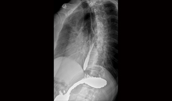
Uygulama Görüntüleri
Tam Boyut
Tam Boyut
Tam Boyut
Tam Boyut
Tam Boyut
Tam Boyut
Tam Boyut
Tam Boyut
Bu Kategoriye Ait Diğer Ürünler


MEC İLERİ GÖRÜNTÜLEME TEKNOLOJİLERİ A.Ş
MEC, yüksek performanslı ileri tıbbi görüntüleme, nükleer tıp, radyoterapi ve diğer yaşam bilimleri ekipmanlarının geliştirilmesi, üretimi ve satışı ile iştigal eden ve dünya çapındaki müşterilerine akıllı dijital çözümler sunan "Wandong Medical" ve "MinFound" Türkiye mümessiliğini yürütmektedir.
ÜRÜN GRUPLARIMIZ

- Bilgisayarlı Tomografi
- Nükleer Tıp (PET/CT)
- Manyetik Rösenans Görüntüleme (MRI)
- Dijital Subtraksiyon Anjiyografi (DSA)
- Dijital Radyoloji (DR)
- Mobil DR
- Dijital Radyografi Ve Floroskopi (DRF)
- Mammografi
- Mobil Görüntüleme Çözümleri
- Veteriner Görüntüleme
- Yazılım Çözümleri
İSTANBUL OFİSİ


ADRES
BUMERANG KARTAL KAT 33 NO: 176 Soğanlık Yeni, Aliağa Sk. No:8, 34880 Kartal / İSTANBUL


TELEFON
+90 216 499 99 18


E MAIL
info@mechealthcare.com
ANKARA OFİSİ


ADRES
Sümer 1 Sokak No14/B Kızılay / ANKARA


TELEFON
+90 312 284 88 58


E MAIL
info@mechealthcare.com

Tüm hakları MEC İLERİ GÖRÜNTÜLEME TEKNOLOJİLERİ A.Ş tarafından saklıdır. © 2024

EN


DRF-7/8 Series

Mükemmel Performans, Her Yönden Gelişim

Klinik teşhisleri güçlendirmek için gelişmiş uygulamaları genişletmek, daha verimli bir görüntüleme zinciri oluşturarak her muayene için düşük dozlarda yüksek kaliteli görüntülemeye olanak sağlamak.

Yapay Zeka Yardımı
Gelişmiş Klinik Uygulamaların Genişletilmesi
Akıllı Düşük Doz Yönetimi


Üst Düzey Donanım

Sürekli floroskopi sağlamak için yüksek güç ve yüksek termal kapasite
Retrograd görüntüleme ihtiyaçları için -25° masa eğimi
Eğik projeksiyon ve tomosentez için tüp dönüşü ±45°
Göğüs radyografisi için 1800 mm’ye kadar SID motorlu uzatma
Tüm vücut R/F muayenesi için 1600 mm görüntüleme alanı kapsamı


Çok Yönlü Düşük Doz Görüntüleme

Düşük doz program algoritma sistemi
Floroskopik görüntü edinme işlemi sırasında, gelişmiş görüntü kalitesi elde etmek için hareketli parçalar korunurken, zaman eksenindeki gürültü azaltılarak sistem gürültüsünün görüntü üzerindeki etkisi azaltılır.

DAP görüntüleme sistemi
Gerçek zamanlı kümülatif değerler radyasyon dozunu gösterir.

Çıkarılabilir ızgara
Düşük doz görüntüleme talebini karşılayın.

Sanal kolimatör
Radyasyonsuz koşullar altında hızlı FOV konumlandırması gereksizliği en aza indirir.
Uygulama Görüntüleri
Tam Boyut
Tam Boyut
Tam Boyut
Tam Boyut
Tam Boyut
Tam Boyut
Tam Boyut
Tam Boyut
Bu Kategoriye Ait Diğer Ürünler


MEC İLERİ GÖRÜNTÜLEME TEKNOLOJİLERİ A.Ş
MEC, yüksek performanslı ileri tıbbi görüntüleme, nükleer tıp, radyoterapi ve diğer yaşam bilimleri ekipmanlarının geliştirilmesi, üretimi ve satışı ile iştigal eden ve dünya çapındaki müşterilerine akıllı dijital çözümler sunan "Wandong Medical" ve "MinFound" Türkiye mümessiliğini yürütmektedir.
ÜRÜN GRUPLARIMIZ

- Bilgisayarlı Tomografi
- Nükleer Tıp (PET/CT)
- Manyetik Rösenans Görüntüleme (MRI)
- Dijital Subtraksiyon Anjiyografi (DSA)
- Dijital Radyoloji (DR)
- Mobil DR
- Dijital Radyografi Ve Floroskopi (DRF)
- Mammografi
- Mobil Görüntüleme Çözümleri
- Veteriner Görüntüleme
- Yazılım Çözümleri
İSTANBUL OFİSİ


ADRES
BUMERANG KARTAL KAT 33 NO: 176 Soğanlık Yeni, Aliağa Sk. No:8, 34880 Kartal / İSTANBUL


TELEFON
+90 216 499 99 18


E MAIL
info@mechealthcare.com
ANKARA OFİSİ


ADRES
Sümer 1 Sokak No14/B Kızılay / ANKARA


TELEFON
+90 312 284 88 58


E MAIL
info@mechealthcare.com

Tüm hakları MEC İLERİ GÖRÜNTÜLEME TEKNOLOJİLERİ A.Ş tarafından saklıdır. © 2024