New Oriental 1000FC

Görünmeyeni Görmek için 100µm Yüksek Çözünürlük
Temel teknolojide çığır açan gelişme ve üst düzey akıllı görüntülemeye kapsamlı yükseltme. Yeni Oriental 1000FC, doğru teşhise odaklanarak yüksek düzeyde görüntüleme gereksinimlerini karşılayan hızlı ve yüksek çözünürlüklü görüntüleme elde etmek için 100µm FPD ve on eksenli akıllı hareket sistemiyle birleşiyor.

100µm Görüntüleme Teknolojisi
Ayrıntılara bakış

80kW Yüksek Çıkış
Garantili istikrar

10 Eksenli Koordineli Hareket ve 6 Yönlü Senkronize Takip
Akıllı kontrol

Çift 100um FPD
Verimli süreç
Teknoloji Platformu

Yüksek Çözünürlüklü Görüntüleme

100µm Görüntüleme Teknolojisi
İnce veya gizli lezyonların gözlemlenmesine yardımcı olur

·2.4/5G Çift frekanslı kablosuz iletim
·17“X17“ Geniş Görüş Alanı
·%75 DQE Düşük doz
·100µm Piksel aralığı
·18 Milyon piksel
·Daha iyi klinik uygulamalar için geliştirilmiş deneyim
100μm Görüntüleme, İnce Detayları Hissetme

Çıkarılabilir Salınımlı Izgara
Izgara gölgesi olmadan dağınık radyasyonu azaltmak için salınımlı ızgara.
Ekleme yapısı, çocuklar ve kalın vücut muayenesi için düşük doz gerektiğinde ızgarayı çıkarabilme özelliğine sahiptir.

Kablosuz Akıllı iAEC İşlevi
Kapsamlı otomatik maruz kalma kontrolü, her vücut parçası için doğru doz kontrolü.
İyon odasında artefakt olmaması, görüntü netliğini artırır.

Hat Gürültüsü Giderme Teknolojisi
Görüntü ayrıntısında kayıp olmadan hat gürültüsünü ortadan kaldırır, yeni kusurlar oluşmadan kenarların yüksek çözünürlüğünü korur.
Akıllı Çalışma

On eksenli koordineli hareket
Her hareketin hassas kontrolü için gelişmiş, tam otomatik, akıllı mekanik sistem.

Altı yönlü senkronize izleme
Göğüs Bucky takibi, SID tutma, Masa Bucky takibi.

Motorlu kaldırma masası
Çocukların, yaşlıların ve hareket güçlüğü çeken hastaların klinik muayene ihtiyaçlarını karşılayan, dört yönlü yüzer tablalı geniş kaldırma yelpazesi.
Yüksek Kalite ve Yüksek Verimlilik

Tek Dokunuşla Otomatik Konumlandırma
Yaygın olarak kullanılan bir dizi klinik pozisyon önceden ayarlanmıştır; ayakta durma ve yatma dahil olmak üzere çeşitli pozisyonlar tek bir tıklamayla değiştirilebilir, böylece klinik operasyon basitleştirilir ve iş akışı optimize edilir.

Her pozlamada netlik için çift 100µm FPD
Dedektörü sık sık hareket ettirmeye gerek yoktur, bu da işlemi basitleştirir ve verimliliği artırır.

Otomatik Dikiş (isteğe bağlı)
Göğüs kısmında otomatik dikiş
Bucky masasında otomatik dikiş
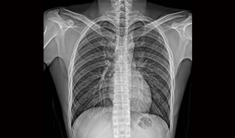
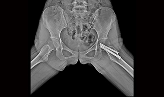
Uygulama Görüntüleri
Tam Boyut
Tam Boyut
Tam Boyut
Tam Boyut
Tam Boyut
Tam Boyut
Tam Boyut
Tam Boyut
Bu Kategoriye Ait Diğer Ürünler


MEC İLERİ GÖRÜNTÜLEME TEKNOLOJİLERİ A.Ş
MEC, yüksek performanslı ileri tıbbi görüntüleme, nükleer tıp, radyoterapi ve diğer yaşam bilimleri ekipmanlarının geliştirilmesi, üretimi ve satışı ile iştigal eden ve dünya çapındaki müşterilerine akıllı dijital çözümler sunan "Wandong Medical" ve "MinFound" Türkiye mümessiliğini yürütmektedir.
ÜRÜN GRUPLARIMIZ

- Bilgisayarlı Tomografi
- Nükleer Tıp (PET/CT)
- Manyetik Rösenans Görüntüleme (MRI)
- Dijital Subtraksiyon Anjiyografi (DSA)
- Dijital Radyoloji (DR)
- Mobil DR
- Dijital Radyografi Ve Floroskopi (DRF)
- Mammografi
- Mobil Görüntüleme Çözümleri
- Veteriner Görüntüleme
- Yazılım Çözümleri
İSTANBUL OFİSİ


ADRES
BUMERANG KARTAL KAT 33 NO: 176 Soğanlık Yeni, Aliağa Sk. No:8, 34880 Kartal / İSTANBUL


TELEFON
+90 216 499 99 18


E MAIL
info@mechealthcare.com
ANKARA OFİSİ


ADRES
Sümer 1 Sokak No14/B Kızılay / ANKARA


TELEFON
+90 312 284 88 58


E MAIL
info@mechealthcare.com

Tüm hakları MEC İLERİ GÖRÜNTÜLEME TEKNOLOJİLERİ A.Ş tarafından saklıdır. © 2024

EN


New Oriental 1000FC

Görünmeyeni Görmek için 100µm Yüksek Çözünürlük
Temel teknolojide çığır açan gelişme ve üst düzey akıllı görüntülemeye kapsamlı yükseltme. Yeni Oriental 1000FC, doğru teşhise odaklanarak yüksek düzeyde görüntüleme gereksinimlerini karşılayan hızlı ve yüksek çözünürlüklü görüntüleme elde etmek için 100µm FPD ve on eksenli akıllı hareket sistemiyle birleşiyor.

100µm Görüntüleme Teknolojisi
Ayrıntılara bakış

80kW Yüksek Çıkış
Garantili istikrar

10 Eksenli Koordineli Hareket ve 6 Yönlü Senkronize Takip
Akıllı kontrol

Çift 100um FPD
Verimli süreç


Teknoloji Platformu

Yüksek Çözünürlüklü Görüntüleme

100µm Görüntüleme Teknolojisi
İnce veya gizli lezyonların gözlemlenmesine yardımcı olur

·2.4/5G Çift frekanslı kablosuz iletim
·17“X17“ Geniş Görüş Alanı
·%75 DQE Düşük doz
·100µm Piksel aralığı
·18 Milyon piksel
·Daha iyi klinik uygulamalar için geliştirilmiş deneyim


100μm Görüntüleme, İnce Detayları Hissetme

Çıkarılabilir Salınımlı Izgara
Izgara gölgesi olmadan dağınık radyasyonu azaltmak için salınımlı ızgara.
Ekleme yapısı, çocuklar ve kalın vücut muayenesi için düşük doz gerektiğinde ızgarayı çıkarabilme özelliğine sahiptir.

Kablosuz Akıllı iAEC İşlevi
Kapsamlı otomatik maruz kalma kontrolü, her vücut parçası için doğru doz kontrolü.
İyon odasında artefakt olmaması, görüntü netliğini artırır.

Hat Gürültüsü Giderme Teknolojisi
Görüntü ayrıntısında kayıp olmadan hat gürültüsünü ortadan kaldırır, yeni kusurlar oluşmadan kenarların yüksek çözünürlüğünü korur.


Akıllı Çalışma

On eksenli koordineli hareket
Her hareketin hassas kontrolü için gelişmiş, tam otomatik, akıllı mekanik sistem.

Altı yönlü senkronize izleme
Göğüs Bucky takibi, SID tutma, Masa Bucky takibi.

Motorlu kaldırma masası
Çocukların, yaşlıların ve hareket güçlüğü çeken hastaların klinik muayene ihtiyaçlarını karşılayan, dört yönlü yüzer tablalı geniş kaldırma yelpazesi.


Yüksek Kalite ve Yüksek Verimlilik

Tek Dokunuşla Otomatik Konumlandırma
Yaygın olarak kullanılan bir dizi klinik pozisyon önceden ayarlanmıştır; ayakta durma ve yatma dahil olmak üzere çeşitli pozisyonlar tek bir tıklamayla değiştirilebilir, böylece klinik operasyon basitleştirilir ve iş akışı optimize edilir.

Her pozlamada netlik için çift 100µm FPD
Dedektörü sık sık hareket ettirmeye gerek yoktur, bu da işlemi basitleştirir ve verimliliği artırır.

Otomatik Dikiş (isteğe bağlı)
Göğüs kısmında otomatik dikiş
Bucky masasında otomatik dikiş
Uygulama Görüntüleri
Tam Boyut
Tam Boyut
Tam Boyut
Tam Boyut
Tam Boyut
Tam Boyut
Tam Boyut
Tam Boyut
Bu Kategoriye Ait Diğer Ürünler


MEC İLERİ GÖRÜNTÜLEME TEKNOLOJİLERİ A.Ş
MEC, yüksek performanslı ileri tıbbi görüntüleme, nükleer tıp, radyoterapi ve diğer yaşam bilimleri ekipmanlarının geliştirilmesi, üretimi ve satışı ile iştigal eden ve dünya çapındaki müşterilerine akıllı dijital çözümler sunan "Wandong Medical" ve "MinFound" Türkiye mümessiliğini yürütmektedir.
ÜRÜN GRUPLARIMIZ

- Bilgisayarlı Tomografi
- Nükleer Tıp (PET/CT)
- Manyetik Rösenans Görüntüleme (MRI)
- Dijital Subtraksiyon Anjiyografi (DSA)
- Dijital Radyoloji (DR)
- Mobil DR
- Dijital Radyografi Ve Floroskopi (DRF)
- Mammografi
- Mobil Görüntüleme Çözümleri
- Veteriner Görüntüleme
- Yazılım Çözümleri
İSTANBUL OFİSİ


ADRES
BUMERANG KARTAL KAT 33 NO: 176 Soğanlık Yeni, Aliağa Sk. No:8, 34880 Kartal / İSTANBUL


TELEFON
+90 216 499 99 18


E MAIL
info@mechealthcare.com
ANKARA OFİSİ


ADRES
Sümer 1 Sokak No14/B Kızılay / ANKARA


TELEFON
+90 312 284 88 58


E MAIL
info@mechealthcare.com

Tüm hakları MEC İLERİ GÖRÜNTÜLEME TEKNOLOJİLERİ A.Ş tarafından saklıdır. © 2024