i_Field 1.5T Series

Ferah ve Konforlu Bir Muayene Deneyimi

71cm Delik Çaplı Kısa Boşluk
175 mT/m/ms Dönüş Hızı Kademeli Sistem
16-32 Kanal RF Sistemi
Dijital Optik Fiber İletim
Yüksek Homojenlikli Manyetik Alan

Yüksek homojenlik elde etmek için akıllı şimleme teknolojisiyle birleştirilmiş gelişmiş mıknatıs sistemini benimseyin.

*Geniş FOV, merkez dışı kalitede görüntüler getiriyor.

*Geniş bir yelpazede yağ doygunluğu görüntülemesi sağlar, FS dizisi tarama süresini kısaltır ve görüntü kalitesini artırır.
Dinamik B0 Girdap Akımı Dengeleme Teknolojisi

Girdap akımı durumuna dayalı gerçek zamanlı telafi, yağ bastırmayı iyileştirir, DWI görüntü bozukluklarını azaltır ve SWI gibi B0 girdap akımına duyarlı dizilerin görüntü kalitesini artırır.

Tamamen Dijitalleştirildi
Optik Fiber İletim

Tamamen dijitalleştirilmiş toplama sistemi, gradyan sistemi ve RF sistemi, sinyal zayıflamasını etkili bir şekilde azaltan ve sistemi harici elektromanyetik sinyal girişiminden izole ederek verimli ve istikrarlı iletim ve gelişmiş görüntü kalitesi sağlayan optik fiber iletimine uyarlanmıştır.

Güç Duyusu
Hızlı Görüntüleme Sistemi

Geleneksel "Sense" ve yapay zeka tabanlı sıkıştırılmış algılamalı "Power Sense" hızlı görüntüleme teknolojisini entegre eden edinim modu optimize edildi ve MRI incelemelerinin tarama hızı ve görüntü kalitesi iyileştirildi.
Saniyenin Altında Akıllı Şimleme Teknolojisi

Herhangi bir parçanın ve herhangi bir alanın şimleme işlemini 1 saniyede hızlı ve hassas bir şekilde tamamlayabilme, manyetik alanın homojenliğini maksimum 0,002ppm’ye çıkarabilme. Son derece hızlı şimleme işlemi nedeniyle hareket artefaktından neredeyse hiç etkilenmez.

24/32 Kanal RF Platformu
Çok kanallı bobin, görüntüleme hızını artırmak için hızlı paralel edinim teknolojisiyle çok kanallı spektrometreye bağımsız olarak karşılık gelir.

Entegre Bobinler
Kombine bobinlerle, bobin değiştirmeye gerek kalmadan geniş aralıkta görüntüleme gerçekleştirilebilir, bu da inceleme süresini kısaltır.
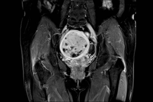
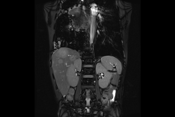
Uygulama Görüntüleri
Tam Boyut
Tam Boyut
Tam Boyut
Tam Boyut
Tam Boyut
Tam Boyut
Tam Boyut
Bu Kategoriye Ait Diğer Ürünler


MEC İLERİ GÖRÜNTÜLEME TEKNOLOJİLERİ A.Ş
MEC, yüksek performanslı ileri tıbbi görüntüleme, nükleer tıp, radyoterapi ve diğer yaşam bilimleri ekipmanlarının geliştirilmesi, üretimi ve satışı ile iştigal eden ve dünya çapındaki müşterilerine akıllı dijital çözümler sunan "Wandong Medical" ve "MinFound" Türkiye mümessiliğini yürütmektedir.
ÜRÜN GRUPLARIMIZ

- Bilgisayarlı Tomografi
- Nükleer Tıp (PET/CT)
- Manyetik Rösenans Görüntüleme (MRI)
- Dijital Subtraksiyon Anjiyografi (DSA)
- Dijital Radyoloji (DR)
- Mobil DR
- Dijital Radyografi Ve Floroskopi (DRF)
- Mammografi
- Mobil Görüntüleme Çözümleri
- Veteriner Görüntüleme
- Yazılım Çözümleri
İSTANBUL OFİSİ


ADRES
BUMERANG KARTAL KAT 33 NO: 176 Soğanlık Yeni, Aliağa Sk. No:8, 34880 Kartal / İSTANBUL


TELEFON
+90 216 499 99 18


E MAIL
info@mechealthcare.com
ANKARA OFİSİ


ADRES
Sümer 1 Sokak No14/B Kızılay / ANKARA


TELEFON
+90 312 284 88 58


E MAIL
info@mechealthcare.com

Tüm hakları MEC İLERİ GÖRÜNTÜLEME TEKNOLOJİLERİ A.Ş tarafından saklıdır. © 2024

EN


i_Field 1.5T Series



Ferah ve Konforlu Bir Muayene Deneyimi

71cm Delik Çaplı Kısa Boşluk
175 mT/m/ms Dönüş Hızı Kademeli Sistem
16-32 Kanal RF Sistemi
Dijital Optik Fiber İletim


Yüksek Homojenlikli Manyetik Alan

Yüksek homojenlik elde etmek için akıllı şimleme teknolojisiyle birleştirilmiş gelişmiş mıknatıs sistemini benimseyin.

*Geniş FOV, merkez dışı kalitede görüntüler getiriyor.

*Geniş bir yelpazede yağ doygunluğu görüntülemesi sağlar, FS dizisi tarama süresini kısaltır ve görüntü kalitesini artırır.


Dinamik B0 Girdap Akımı Dengeleme Teknolojisi

Girdap akımı durumuna dayalı gerçek zamanlı telafi, yağ bastırmayı iyileştirir, DWI görüntü bozukluklarını azaltır ve SWI gibi B0 girdap akımına duyarlı dizilerin görüntü kalitesini artırır.

Tamamen Dijitalleştirildi
Optik Fiber İletim

Tamamen dijitalleştirilmiş toplama sistemi, gradyan sistemi ve RF sistemi, sinyal zayıflamasını etkili bir şekilde azaltan ve sistemi harici elektromanyetik sinyal girişiminden izole ederek verimli ve istikrarlı iletim ve gelişmiş görüntü kalitesi sağlayan optik fiber iletimine uyarlanmıştır.

Güç Duyusu
Hızlı Görüntüleme Sistemi

Geleneksel "Sense" ve yapay zeka tabanlı sıkıştırılmış algılamalı "Power Sense" hızlı görüntüleme teknolojisini entegre eden edinim modu optimize edildi ve MRI incelemelerinin tarama hızı ve görüntü kalitesi iyileştirildi.


Saniyenin Altında Akıllı Şimleme Teknolojisi

Herhangi bir parçanın ve herhangi bir alanın şimleme işlemini 1 saniyede hızlı ve hassas bir şekilde tamamlayabilme, manyetik alanın homojenliğini maksimum 0,002ppm’ye çıkarabilme. Son derece hızlı şimleme işlemi nedeniyle hareket artefaktından neredeyse hiç etkilenmez.

24/32 Kanal RF Platformu
Çok kanallı bobin, görüntüleme hızını artırmak için hızlı paralel edinim teknolojisiyle çok kanallı spektrometreye bağımsız olarak karşılık gelir.

Entegre Bobinler
Kombine bobinlerle, bobin değiştirmeye gerek kalmadan geniş aralıkta görüntüleme gerçekleştirilebilir, bu da inceleme süresini kısaltır.
Uygulama Görüntüleri
Tam Boyut
Tam Boyut
Tam Boyut
Tam Boyut
Tam Boyut
Tam Boyut
Tam Boyut
Bu Kategoriye Ait Diğer Ürünler


MEC İLERİ GÖRÜNTÜLEME TEKNOLOJİLERİ A.Ş
MEC, yüksek performanslı ileri tıbbi görüntüleme, nükleer tıp, radyoterapi ve diğer yaşam bilimleri ekipmanlarının geliştirilmesi, üretimi ve satışı ile iştigal eden ve dünya çapındaki müşterilerine akıllı dijital çözümler sunan "Wandong Medical" ve "MinFound" Türkiye mümessiliğini yürütmektedir.
ÜRÜN GRUPLARIMIZ

- Bilgisayarlı Tomografi
- Nükleer Tıp (PET/CT)
- Manyetik Rösenans Görüntüleme (MRI)
- Dijital Subtraksiyon Anjiyografi (DSA)
- Dijital Radyoloji (DR)
- Mobil DR
- Dijital Radyografi Ve Floroskopi (DRF)
- Mammografi
- Mobil Görüntüleme Çözümleri
- Veteriner Görüntüleme
- Yazılım Çözümleri
İSTANBUL OFİSİ


ADRES
BUMERANG KARTAL KAT 33 NO: 176 Soğanlık Yeni, Aliağa Sk. No:8, 34880 Kartal / İSTANBUL


TELEFON
+90 216 499 99 18


E MAIL
info@mechealthcare.com
ANKARA OFİSİ


ADRES
Sümer 1 Sokak No14/B Kızılay / ANKARA


TELEFON
+90 312 284 88 58


E MAIL
info@mechealthcare.com

Tüm hakları MEC İLERİ GÖRÜNTÜLEME TEKNOLOJİLERİ A.Ş tarafından saklıdır. © 2024