i_Space 1.5T

Kaliteli MRI Performansı için Akıllı Teknolojiler

* Saniyenin altında akıllı şimleme teknolojisi
*Akıllı mıknatıs koruma sistemi
*Akıllı gerçek zamanlı dinamik B0 girdap akımı dengeleme teknolojisi
*Akıllı İşletme ve Bakım izleme platformu
*Dijital fiber optik iletim
*Akıllı görüntü veri aktarım platformu
*Akıllı paralel hızlanma teknolojisi
*Akıllı uzaktan kumanda sistemleri
Saniyenin Altında Akıllı Şimleme Teknolojisi

Herhangi bir parçanın ve herhangi bir alanın hızlı ve hassas şimleme işlemi 1 saniyede tamamlanarak 0,002 ppm’ye kadar manyetik alan homojenliği elde edilir. Tüm şimleme işlemi sırasında son derece hızlıdır, hareketten neredeyse hiç etkilenmez.
Yüksek Homojenlikli Manyetik Alan

Geniş FOV, merkez dışı kalitede görüntüler sağlamak, geniş bir yelpazede yağ doygunluğu görüntülemesi sağlar, FS sekansı tarama süresini kısaltır ve görüntü kalitesini artırır.
Dinamik B0 Eddy Current Kompanzasyon Teknolojisi

Yağ bastırmayı iyileştirir, DWI görüntülerindeki artefaktları azaltır ve SWI gibi B0 girdap akımına duyarlı dizilerin görüntü kalitesini artırır.
Entegre Bobinler

Çoklu sarmalların kombine görüntülemesi, sarmalları değiştirmeden, hastanın yeniden konumlandırılmasına gerek kalmadan muayene süresini kısaltır.

Akıllı Mıknatıs Koruma Sistemi
Uzaktan akıllı izleme sistemi, temel bileşenlerin durumunu gerçek zamanlı olarak izleyebilir, anormallik durumunda erken uyarı vererek aktif müdahalede bulunabilir ve sistem arıza oranını azaltabilir.

32 Kanal RF Platformu
Çok kanallı bobin, görüntüleme hızını artırmak için hızlı paralel edinim teknikleriyle bağımsız olarak çok kanallı spektrometreye karşılık gelir.

Dijital Optik Fiber İletim
Optik fiber iletimi, sinyal zayıflamasını etkili bir şekilde azaltmak ve sistemi harici parazitlerden izole etmek, verimli iletim sağlamak ve görüntü kalitesini artırmak için kullanılır.

Kullanışlı Görüntü Veri Aktarımı
Akıllı görüntü iletme
Yüksek kaliteli sıkıştırılmış iletim
SSL kanal şifrelemesi
Gerçek zamanlı/gecikmeli aktarım
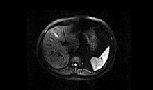
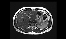
Uygulama Görüntüleri
Tam Boyut
Tam Boyut
Tam Boyut
Tam Boyut
Tam Boyut
Tam Boyut
Bu Kategoriye Ait Diğer Ürünler


MEC İLERİ GÖRÜNTÜLEME TEKNOLOJİLERİ A.Ş
MEC, yüksek performanslı ileri tıbbi görüntüleme, nükleer tıp, radyoterapi ve diğer yaşam bilimleri ekipmanlarının geliştirilmesi, üretimi ve satışı ile iştigal eden ve dünya çapındaki müşterilerine akıllı dijital çözümler sunan "Wandong Medical" ve "MinFound" Türkiye mümessiliğini yürütmektedir.
ÜRÜN GRUPLARIMIZ

- Bilgisayarlı Tomografi
- Nükleer Tıp (PET/CT)
- Manyetik Rösenans Görüntüleme (MRI)
- Dijital Subtraksiyon Anjiyografi (DSA)
- Dijital Radyoloji (DR)
- Mobil DR
- Dijital Radyografi Ve Floroskopi (DRF)
- Mammografi
- Mobil Görüntüleme Çözümleri
- Veteriner Görüntüleme
- Yazılım Çözümleri
İSTANBUL OFİSİ


ADRES
BUMERANG KARTAL KAT 33 NO: 176 Soğanlık Yeni, Aliağa Sk. No:8, 34880 Kartal / İSTANBUL


TELEFON
+90 216 499 99 18


E MAIL
info@mechealthcare.com
ANKARA OFİSİ


ADRES
Sümer 1 Sokak No14/B Kızılay / ANKARA


TELEFON
+90 312 284 88 58


E MAIL
info@mechealthcare.com

Tüm hakları MEC İLERİ GÖRÜNTÜLEME TEKNOLOJİLERİ A.Ş tarafından saklıdır. © 2024

EN


i_Space 1.5T



Kaliteli MRI Performansı için Akıllı Teknolojiler

* Saniyenin altında akıllı şimleme teknolojisi
*Akıllı mıknatıs koruma sistemi
*Akıllı gerçek zamanlı dinamik B0 girdap akımı dengeleme teknolojisi
*Akıllı İşletme ve Bakım izleme platformu
*Dijital fiber optik iletim
*Akıllı görüntü veri aktarım platformu
*Akıllı paralel hızlanma teknolojisi
*Akıllı uzaktan kumanda sistemleri


Saniyenin Altında Akıllı Şimleme Teknolojisi

Herhangi bir parçanın ve herhangi bir alanın hızlı ve hassas şimleme işlemi 1 saniyede tamamlanarak 0,002 ppm’ye kadar manyetik alan homojenliği elde edilir. Tüm şimleme işlemi sırasında son derece hızlıdır, hareketten neredeyse hiç etkilenmez.


Yüksek Homojenlikli Manyetik Alan

Geniş FOV, merkez dışı kalitede görüntüler sağlamak, geniş bir yelpazede yağ doygunluğu görüntülemesi sağlar, FS sekansı tarama süresini kısaltır ve görüntü kalitesini artırır.


Dinamik B0 Eddy Current Kompanzasyon Teknolojisi

Yağ bastırmayı iyileştirir, DWI görüntülerindeki artefaktları azaltır ve SWI gibi B0 girdap akımına duyarlı dizilerin görüntü kalitesini artırır.


Entegre Bobinler

Çoklu sarmalların kombine görüntülemesi, sarmalları değiştirmeden, hastanın yeniden konumlandırılmasına gerek kalmadan muayene süresini kısaltır.

Akıllı Mıknatıs Koruma Sistemi
Uzaktan akıllı izleme sistemi, temel bileşenlerin durumunu gerçek zamanlı olarak izleyebilir, anormallik durumunda erken uyarı vererek aktif müdahalede bulunabilir ve sistem arıza oranını azaltabilir.

32 Kanal RF Platformu
Çok kanallı bobin, görüntüleme hızını artırmak için hızlı paralel edinim teknikleriyle bağımsız olarak çok kanallı spektrometreye karşılık gelir.

Dijital Optik Fiber İletim
Optik fiber iletimi, sinyal zayıflamasını etkili bir şekilde azaltmak ve sistemi harici parazitlerden izole etmek, verimli iletim sağlamak ve görüntü kalitesini artırmak için kullanılır.

Kullanışlı Görüntü Veri Aktarımı
Akıllı görüntü iletme
Yüksek kaliteli sıkıştırılmış iletim
SSL kanal şifrelemesi
Gerçek zamanlı/gecikmeli aktarım
Uygulama Görüntüleri
Tam Boyut
Tam Boyut
Tam Boyut
Tam Boyut
Tam Boyut
Tam Boyut
Bu Kategoriye Ait Diğer Ürünler


MEC İLERİ GÖRÜNTÜLEME TEKNOLOJİLERİ A.Ş
MEC, yüksek performanslı ileri tıbbi görüntüleme, nükleer tıp, radyoterapi ve diğer yaşam bilimleri ekipmanlarının geliştirilmesi, üretimi ve satışı ile iştigal eden ve dünya çapındaki müşterilerine akıllı dijital çözümler sunan "Wandong Medical" ve "MinFound" Türkiye mümessiliğini yürütmektedir.
ÜRÜN GRUPLARIMIZ

- Bilgisayarlı Tomografi
- Nükleer Tıp (PET/CT)
- Manyetik Rösenans Görüntüleme (MRI)
- Dijital Subtraksiyon Anjiyografi (DSA)
- Dijital Radyoloji (DR)
- Mobil DR
- Dijital Radyografi Ve Floroskopi (DRF)
- Mammografi
- Mobil Görüntüleme Çözümleri
- Veteriner Görüntüleme
- Yazılım Çözümleri
İSTANBUL OFİSİ


ADRES
BUMERANG KARTAL KAT 33 NO: 176 Soğanlık Yeni, Aliağa Sk. No:8, 34880 Kartal / İSTANBUL


TELEFON
+90 216 499 99 18


E MAIL
info@mechealthcare.com
ANKARA OFİSİ


ADRES
Sümer 1 Sokak No14/B Kızılay / ANKARA


TELEFON
+90 312 284 88 58


E MAIL
info@mechealthcare.com

Tüm hakları MEC İLERİ GÖRÜNTÜLEME TEKNOLOJİLERİ A.Ş tarafından saklıdır. © 2024